ದೇಶದ ರಾಜಕೀಯ, ಆರ್ಥಿಕ, ಸಾಮಾಜಿಕ ಕ್ಷೇತ್ರದಲ್ಲಿ ಹತ್ತು ಹಲವು ಘಟನಾವಳಿಗಳು| ಸುದ್ದಿಯ ಸಾರವರಿತು ಸುದ್ದಿಯ ವಿಶ್ಲೇಷಿಸುವ ನಿಮ್ಮ ಸುವರ್ಣನ್ಯೂಸ್.ಕಾಂ| ದಿನದ ಟಾಪ್ 10 ಸುದ್ದಿಗಳು ನಿಮಗಾಗಿ| ಫೆ.04ರಂದು ನಡೆದ ವಿವಿಧ ಪ್ರಮುಖ ಸುದ್ದಿಗಳ ಸಂಕ್ಷಿಪ್ತ ಮಾಹಿತಿ ಇಲ್ಲಿದೆ|
ಬೆಂಗಳೂರು(ಜ.21): ದಿನವೊಂದಕ್ಕೆ ದೇಶದಲ್ಲಿ ಅದೆಷ್ಟು ಘಟನೆಗಳು ಸಂಭವಿಸುತ್ತವೆ. ದೇಶದ ರಾಜಕೀಯ, ಆರ್ಥಿಕ, ಸಾಮಾಜಿಕ ಕ್ಷೇತ್ರದಲ್ಲಿ ಅಸಂಖ್ಯಾತ ಘಟನಾವಳಿಗಳು ಜರುತ್ತಲೇ ಇರುತ್ತವೆ. ಈ ಎಲ್ಲ ಸುದ್ದಿಗಳನ್ನು ಹೆಕ್ಕಿ ತೆಗೆಯುವ, ಸುದ್ದಿಯ ಆಳಕ್ಕಿಳಿದು ವಿಶ್ಲೇಷಿಸುವ ಪತ್ರಿಕಾಧರ್ಮವನ್ನು ನಿಮ್ಮ ಸುವರ್ಣನ್ಯೂಸ್.ಕಾಂ ಚಾಚೂ ತಪ್ಪದೇ ಪಾಲಿಸಿಕೊಂಡು ಬರುತ್ತದೆ. ಅದರಂತೆ ಇಂದಿನ ಅಸಂಖ್ಯ ಘಟನಾವಳಿಗಳ ಸಮುದ್ರದಿಂದ ಟಾಪ್ 10 ಸುದ್ದಿ ಎಂಬ ಬೊಗಸೆಯಲ್ಲಿಡಿದು ಓದುಗರ ಮುಂದಿಟ್ಟಿದೆ. ಸುವರ್ಣನ್ಯೂಸ್.ಕಾಂ. ಓದಿರಿ, ಓದಿಸಿರಿ.

1. ಕ್ಷಮೆ ಕೇಳಲೂ ಬಗ್ಗದ ಹೆಗಡೆ; ಪ್ರಧಾನಿ ಮೋದಿ ಗರಂ!

ಗಾಂಧಿಜೀ ಸೋಗಲಾಡಿ ಎಂಬರ್ಥದಲ್ಲಿ ಹೇಳಿಕೆ ನಿಡಿರುವ ಸಂಸದ ಅನಂತ್ ಕುಮಾರ್ ಹೆಗಡೆಗೆ, ಕ್ಷಮೆ ಕೇಳುವಂತೆ ಬಿಜೆಪಿ ಹೈಕಮಾಂಡ್ ತಾಕೀತು ಮಾಡಿದೆ. ಅದಾಗ್ಯೂ, ವರಿಷ್ಠರ ಸೂಚನೆಗೂ ಬಗ್ಗದ ಹೆಗಡೆ, ಕ್ಷಮೆ ಕೇಳಲು ನಿರಾಕರಿಸಿದ್ದಾರೆ. ಹೆಗಡೆ ವರ್ತನೆಗೆ ಪ್ರಧಾನಿ ಮೋದಿ ಕೂಡಾ ಗರಂ ಆಗಿದ್ದಾರೆ.
2. ಗಾಂಧೀಜಿ ವಿರೋಧಿ ಹೇಳಿಕೆ ಕೊಟ್ಟಿಲ್ಲ, ಕ್ಷಮೆ ಕೇಳಲ್ಲ: ಹೆಗ್ಡೆ ಅಚಲ

ಕಾರವಾರದ ಸಂಸದ ಅನಂತ್ ಕುಮಾರ್ ಹೆಗ್ಡೆ ನೀಡಿರುವ ಗಾಂಧೀ ವಿರೋಧಿ ಹೇಳಿಕೆ ಸದ್ಯ ಭಾರೀ ವಿವಾದ ಹುಟ್ಟು ಹಾಕಿದೆ. ಸೋಶಿಯಲ್ ಮೀಡಿಯಾದಿಂದ ವೈರಲ್ ಆದ ಈ ವಿಚಾರ ಸದ್ಯ ಸಂಸತ್ತಿನ ಬಜೆಟ್ ಅಧಿವೇಶನದಲ್ಲೂ ಸದ್ದು ಮಾಡಿದೆ. ತಮ್ಮ ಸಂಸದನ ಈ ಹೇಳಿಕೆ ಒಂದೆಡೆ ಬಿಜೆಪಿ ಪಕ್ಷಕ್ಕೆ ಮುಜುಗರಕ್ಕೀಡು ಮಾಡಿದ್ದರೆ, ಅತ್ತ ಕಾಂಗ್ರೆಸ್ ಪಕ್ಷದ ನಾಯಕರು ಅನಂತ್ ಕುಮಾರ್ ಹೆಗ್ಡೆ ಕ್ಷಮೆ ಯಾಚಿಸಬೇಕೆಂದು ಪಟ್ಟು ಹಿಡಿದಿದ್ದಾರೆ. ಹೆಗ್ಡೆ ಹೇಳಿಕೆಯಿಂದ ಪಿಎಂ ನರೇಂದ್ರ ಮೋದಿಯೂ ಗರಂ ಆಗಿದ್ದಾರೆ ಎನ್ನಲಾಗಿದೆ. ಆದರೆ ಇಷ್ಟೆಲ್ಲಾ ನಡೆದರೂ ಅನಂಮತ್ ಕುಮಾರ್ ಹೆಗ್ಡೆ ಮಾತ್ರ ತಾನು ಇಂತಹ ಹೇಳಿಕೆ ನೀಡಿಲ್ಲ ಎಂದೇ ಪಟ್ಟು ಹಿಡಿದಿದ್ದಾರೆ.
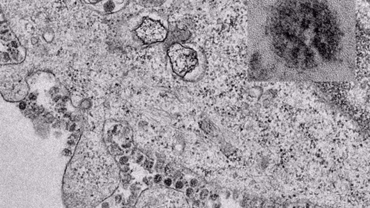
3. ವುಹಾನ್ನಿಂದ ಮರಳಿರುವ ಹುಬ್ಬಳ್ಳಿ ಟೆಕ್ಕಿಗೆ ಜ್ವರ, ಕೊರೋನಾ ಸೋಂಕು ಶಂಕೆ!

15 ದಿನಗಳ ಹಿಂದಷ್ಟೇ ಚೀನಾದಿಂದ ವಾಪಸಾಗಿರುವ ಹುಬ್ಬಳ್ಳಿ ಮೂಲದ ಟೆಕ್ಕಿಯೊಬ್ಬರು ತೀವ್ರ ಜ್ವರ, ತಲೆನೋವಿನ ಸಮಸ್ಯೆಗಳೊಂದಿಗೆ ಕಿಮ್ಸ್ ಆಸ್ಪತ್ರೆಗೆ ದಾಖಲಾಗಿದ್ದು, ಮಾರಕ ಕೊರೋನಾ ವೈರಾಣು ಸೋಂಕಿಗೆ ತುತ್ತಾಗಿರುವ ಶಂಕೆ ಮೂಡಿದೆ. ರೋಗಿಯ ರಕ್ತದ ಮಾದರಿಯನ್ನು ಬೆಂಗಳೂರಿನ ಲ್ಯಾಬ್ಗೆ ಕಳುಹಿಸಿಕೊಡಲಾಗಿದ್ದು, ವರದಿಗಾಗಿ ಎದುರು ನೋಡಲಾಗುತ್ತಿದೆ.
4. ಯೋಗೇಶ್ವರ್ಗೆ ಮಂತ್ರಿ ಸ್ಥಾನ; ಬಿಜೆಪಿಯಲ್ಲಿ ಜೋರು ಅಸಮಾಧಾನ

ಯೋಗೇಶ್ವರ್ಗೆ ಸಚಿವ ಸ್ಥಾನ ಖಚಿತವಾಗೋ ಸಾಧ್ಯತೆ ಕಂಡು ಬರುತ್ತಿರುವ ಬೆನ್ನಲ್ಲೇ, ಬಿಜೆಪಿಯಲ್ಲಿ ಅಸಮಾಧಾನ ಶುರುವಾಗಿದೆ. ಯೊಗೇಶ್ವರ್ಗೆ ಮಂತ್ರಿ ಸ್ಥಾನ ಕೊಡೋದಕ್ಕೆ ವಿರೋಧ ವ್ಯಕ್ತವಾಗಿದೆ.
5. ಟಿ20 ಸರಣಿ ಸೋಲಿನ ಬೆನ್ನಲ್ಲೇ ಕಿವೀಸ್ಗೆ ಮತ್ತೊಂದು ಶಾಕ್

ತವರಿನಲ್ಲೇ ಭಾರತದ ಎದುರು ಹೀನಾಯವಾಗಿ ಟಿ20 ಸರಣಿ ಸೋತಿರುವ ನ್ಯೂಜಿಲೆಂಡ್ ತಂಡಕ್ಕೆ ಮತ್ತೊಂದು ಆಘಾತ ಎದುರಾಗಿದೆ. ಗಾಯದ ಸಮಸ್ಯೆಯಿಂದಾಗಿ ಕಿವೀಸ್ ತಂಡದ ನಾಯಕ ಕೇನ್ ವಿಲಿಯಮ್ಸನ್ ಭಾರತದ ವಿರುದ್ಧದ ಮೊದಲೆರಡು ಪಂದ್ಯಗಳಿಂದ ಹೊರಬಿದ್ದಿದ್ದಾರೆ.
6. ರವಿ ವರ್ಮಾ ಪೇಂಟಿಂಗ್ ರೀ ಕ್ರಿಯೇಟ್ ಆಯ್ತು ದಕ್ಷಿಣ ಸುಂದರಿಯರ ಮೂಲಕ!

ರಾಜ ರವಿವರ್ಮ ಅವರ 19ನೇ ಶತಮಾನದ ಚಿತ್ತಾರವನ್ನು ಫೋಟೋ ಮೂಲಕ ಕ್ಯಾಲೆಂಡರ್ ರೂಪಕ್ಕೆ ತಂದಿದ್ದಾರೆ ಹೆಸರಾಂತ ಫ್ಯಾಷನ್ ಫೋಟೋಗ್ರಾಫರ್ ಜಿ.ವೆಂಕಟ ರಾಮ್. ರವಿವರ್ಮನ ಅದ್ಭುತ ಮಹಿಳಾ ಪೇಟಿಂಗ್ನಂತೆ ಕಾಲಿವುಡ್ ನಟಿಯರನ್ನು ಅಲಂಕರಿಸಿ, ಇವರು ಫೋಟೋ ಶೂಟ್ ಮಾಡಿದ್ದಾರೆ. ನಟಿ ಸುಹಾಸಿನಿ ಅವರ 'ನಾಮ್' ಚಾರಿಟೇಬಲ್ ಟ್ರಸ್ಟ್ ಮಾಡಿಸಿರುವ ಫೋಟೋ ಶೂಟ್ ಹೇಗಿದೆ ನೋಡಿ....
7. ಪಕ್ಕಾ ದುಷ್ಮನಿ: ಮೋದಿ ಬಿಟ್ಟ ‘ಎಣ್ಣೆ’ಗಾಗಿ ನಾನಿದ್ದೇನೆ ಎಂದ ಪಾಕ್ ಪ್ರಧಾನಿ!

ಭಾರತದ ಸಿಎಎ ವಿರೋಧಿಸಿ ಸಂಕಷ್ಟಕ್ಕೆ ಸಿಲಕಿರುವ ಮಲೇಶಿಯಾ ನೆರವಿಗೆ ಬಂದಿರುವ ಪಾಕಿಸ್ತಾನ, ಭಾರತ ನಿಲ್ಲಿಸಿರುವ ತಾಳೆ ಎಣ್ಣೆಯನ್ನು ತಾನು ಖರೀದಿಸುವುದಾಗಿ ಅಭಯ ನೀಡಿದೆ. ಈ ಕುರಿತು ಪ್ರತಿಕ್ರಿಯೆ ನೀಡಿರುವ ಪಾಕ್ ಪ್ರಧಾನಿ ಇಮ್ರಾನ್ ಖಾನ್, ಮಲೇಶಿಯಾದಿಂದ ಹೆಚ್ಚಿನ ಪ್ರಮಾಣದಲ್ಲಿ ತಾಳೆ ಎಣ್ಣೆಯನ್ನು ಖರೀದಿಸುವುದಾಗಿ ಘೋಷಿಸಿದ್ದಾರೆ.
8. ಸಿಯಾಚಿನ್ ಸೈನಿಕರಿಗೆ ಬಟ್ಟೆಯಿಲ್ಲ, ಊಟವಿಲ್ಲ: ನೀವಿನ್ನೂ ಸಿಎಜಿ ವರದಿ ಓದಿಲ್ಲ?

ವಿಶ್ವದ ಅತಿ ಎತ್ತರದ ಯುದ್ಧಭೂಮಿ ಸಿಯಾಚಿನ್ ಗಡಿಯಲ್ಲಿ ಕರ್ತವ್ಯ ನಿರತವಾಗಿರುವ ಸೈನಿಕರಿಗೆ ಸೂಕ್ತ ಆಹಾರ ಮತ್ತು ಬಟ್ಟೆಯ ಕೊರತೆ ಇದೆ ಎಂದು ಕಂಟ್ರೋಲರ್ ಮತ್ತು ಆಡಿಟರ್ ಜನರಲ್(ಸಿಎಜಿ) ವರದಿ ಅಸಮಾಧಾನ ಹೊರಹಾಕಿದೆ.
9. ತುಮಕೂರು ಸಿದ್ದಗಂಗಾ ಮಠದ ವಿದ್ಯಾರ್ಥಿಗಳ ಅನ್ನ ಕಸಿದ ಸರ್ಕಾರ

ತುಮಕೂರಿನ ಸಿದ್ದಗಂಗಾ ಮಠದಲ್ಲಿ ಪ್ರತಿನಿತ್ಯ ನಡೆಯುವ ಅನ್ನದಾಸೋಹಕ್ಕೆ ಸರ್ಕಾರ ಕತ್ತರಿ ಹಾಕಿದೆ ಎಂದು ಕಾಂಗ್ರೆಸ್ ನಾಯಕ ರು ಆಕ್ರೋಶ ವ್ಯಕ್ತಪಡಿಸಿದ್ದಾರೆ. ಇಂದು (ಮಂಗಳವಾರ) ಬೆಂಗಳೂರಿನ ಕೆಪಿಸಿಸಿ ಕಚೇರಿಯಲ್ಲಿ ಸುದ್ದಿಗಾರರೊಂದಿಗೆ ಮಾತನಾಡಿದ ಯುಟಿ ಖಾದರ್ ಹಾಗೂ ವಿ.ಎಸ್. ಉಗ್ರಪ್ಪ, ಕಾಂಗ್ರೆಸ್ ಸರ್ಕಾರ ಜಾರಿಗೆ ತಂದಿದ್ದ ಅನ್ನದಾಸೋಹ ಯೋಜನೆಯನ್ನು ಬಿಜೆಪಿ ಸರ್ಕಾರ ರದ್ದುಗೊಳಿಸಿದೆ ಎಂದು ಕಿಡಿಕಾರಿದರು.
10. ತಾಯಿ ಪ್ರೀತಿ ಸಿಗದಿದ್ದರೆ ಮಗಳ ವ್ಯಕ್ತಿತ್ವಕ್ಕೆ ಕುತ್ತು

ಬೆಳೆದ ಹೆಣ್ಮಗಳಿಗೆ ತಾಯಿ ಬೆಸ್ಟ್ ಫ್ರೆಂಡ್ ಆಗಿದ್ದರೆ ಆಕೆಯಷ್ಟು ಹ್ಯಾಪಿ ಸೋಲ್ ಮತ್ತೊಂದು ಸಿಗಲಿಕ್ಕಿಲ್ಲ. ಭೂಮಿ ಮೇಲಿನ ಪ್ರೀತಿಯೆಲ್ಲ ತನ್ನ ತಾಯಿಯಾಗಿ ರೂಪ ತಳೆದಂತೆ ಆಕೆ ಸಂಭ್ರಮ ಪಡುತ್ತಾಳೆ. ಎಲ್ಲ ನಿರ್ಧಾರಗಳನ್ನು, ಸಂತೋಷ, ದುಃಖಗಳನ್ನು ತಾಯಿಯೊಂದಿಗೆ ಹಂಚಿಕೊಂಡು ಹಗುರಾಗುತ್ತಾಳೆ.
