ಮೈಗ್ರೇನ್ ತಲೆನೋವಿನಿಂದ ಬಳಲುತ್ತಿದ್ದ ಅಮೆರಿಕಾ ಮೂಲದ ವ್ಯಕ್ತಿಯೊಬ್ಬರು ತಲೆನೋವು ತಡೆದುಕೊಳ್ಳಲಾಗದೇ ಆಸ್ಪತ್ರೆಗೆ ಹೋಗಿದ್ದು ಈ ವೇಳೆ ಅವರ ಮೆದುಳಿನಲ್ಲಿ ಏನಿದೆ ಎಂಬುದನ್ನು ತಿಳಿದು ಶಾಕ್ಗೆ ಒಳಗಾಗಿದ್ದಾರೆ.
ನ್ಯೂಯಾರ್ಕ್: ಮೈಗ್ರೇನ್ ತಲೆನೋವಿನಿಂದ ಬಳಲುತ್ತಿದ್ದ ಅಮೆರಿಕಾ ಮೂಲದ ವ್ಯಕ್ತಿಯೊಬ್ಬರು ತಲೆನೋವು ತಡೆದುಕೊಳ್ಳಲಾಗದೇ ಆಸ್ಪತ್ರೆಗೆ ಹೋಗಿದ್ದು ಈ ವೇಳೆ ಅವರ ಮೆದುಳಿನಲ್ಲಿ ಏನಿದೆ ಎಂಬುದನ್ನು ತಿಳಿದು ಶಾಕ್ಗೆ ಒಳಗಾಗಿದ್ದಾರೆ. ಅಮೆರಿಕಾದ 52 ವರ್ಷದ ವ್ಯಕ್ತಿಯೊಬ್ಬರಿಗೆ ಮೊದಲಿನಿಂದಲೂ ಮೈಗ್ರೇನ್ ತಲೆನೋವು ಇತ್ತು. ಆದರೆ ಕಳೆದ 4 ತಿಂಗಳಿಂದ ಅವರ ತಲೆನೋವು ಹೆಚ್ಚಾಗಿದ್ದು ವಿಕೋಪಕ್ಕೆ ತಿರುಗಿದ್ದು, ಈ ಹಿನ್ನೆಲೆಯಲ್ಲಿ ವೈದ್ಯರ ಬಳಿಗೆ ತೆರಳಿ ತಪಾಸಣೆ ನಡೆಸಿದಾಗ ಅವರು ಶಾಕ್ ಆಗಿದ್ದಾರೆ. ವೈದ್ಯರು ಸ್ಕ್ಯಾನ್ ಮಾಡಿ ನೋಡಿದಾಗ ಮೆದುಳಿನಲ್ಲಿ ಲಾಡಿ ಹುಳು ಆಗಿರುವುದು ಗೊತ್ತಾಗಿದೆ. ನ್ಯೂಯಾರ್ಕ್ ಪೋಸ್ಟ್ ವರದಿ ಪ್ರಕಾರ ತಲೆನೋವು ತೀವ್ರಗೊಂಡ ಹಿನ್ನೆಲೆಯಲ್ಲಿ 52 ವರ್ಷದ ವ್ಯಕ್ತಿ ವೈದ್ಯರ ಬಳಿ ತೆರಳಿ ಸ್ಕ್ಯಾನ್ ಮಾಡಿದಾಗ ಈ ಆಘಾತಕಾರಿ ಅಂಶ ಬೆಳಕಿಗೆ ಬಂದಿದೆ.

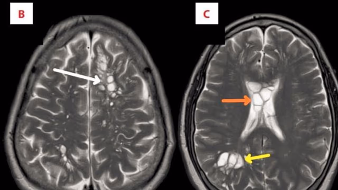
ಮೆದುಳಿನ ಎರಡು ಬದಿಗಳಲ್ಲೂ ಲಾಡಿ ಹುಳುಗಳ ಲಾರ್ವಾ ಕಂಡು ಬಂದಿದ್ದು, ಪರೀಕ್ಷಿಸಿದ ವೈದ್ಯರೇ ಶಾಕ್ಗೆ ಒಳಗಾಗಿದ್ದಾರೆ. ಇವು ಹಂದಿಗಳ ದೇಹದಲ್ಲಿರುವಂತಹ ಲಾಡಿಹುಳುಗಳ ಲಾರ್ವವಾಗಿದ್ದವು. ಈ ಅನಾರೋಗ್ಯಕ್ಕೆ ತುತ್ತಾದ ವ್ಯಕ್ತಿ ತಮ್ಮ ಜೀವನದುದ್ದಕ್ಕೂ ಹೆಚ್ಚಾಗಿ ಬೇಕನ್ ಅಂದರೆ ಸರಿಯಾಗಿ ಬೇಯಿಸದ ಹಂದಿಯ ಮೃದು ಮಾಂಸವನ್ನು ಹೆಚ್ಚಾಗಿ ತಿನ್ನುತ್ತಿದ್ದರು. ಇದನ್ನು ಅವರು ವೈದ್ಯರಿಗೆ ತಿಳಿಸಿದ್ದು, ಇದರಿಂದಲೇ ಅವರಿಗೆ ಮಿದುಳಿನಲ್ಲಿ ಈ ರೀತಿ ಹುಳು ತುಂಬಿದೆ ಎಂದು ವೈದ್ಯರು ಶಂಕೆ ವ್ಯಕ್ತಪಡಿಸಿದ್ದಾರೆ.
ಮನುಷ್ಯರ ಮಿದುಳು ಬಗೆದು ಸೂಪ್ ಮಾಡ್ತಿದ್ದ ಡೆಡ್ಲಿ ಕಿಲ್ಲರ್: ಬೆಚ್ಚಿ ಬೀಳಿಸುವ ಮರ್ಡರ್ ಸ್ಟೋರಿ ಇದು
ಹೀಗಾಗಿ ಈ ಸೂಕ್ಷ್ಮಾಣು ಜೀವಿಯ ಮೊಟ್ಟೆಗಳು ಆತನ ಆಹಾರದ ಮೂಲಕ ದೇಹ ಸೇರಿದೆ. ಮೆದುಳು ಸೇರಿದ ಸೂಕ್ಷ್ಮಾಣು ಜೀವಿಗಳ ಈ ಅನಾರೋಗ್ಯ ಸ್ಥಿತಿಗೆ ವೈದ್ಯರು ಪರಾವಲಂಬಿಗಳಿಂದ ಉಂಟಾಗುವನ್ಯೂರೋಸಿಸ್ಟಿಸರ್ಕೋಸಿಸ್ ಸೋಂಕು ಎಂದು ಹೇಳಿದ್ದು, ಇವು ದೇಹದ ಹಲವು ಪ್ರದೇಶಗಳಿಗೆ ಸೋಂಕನ್ನು ಹರಡಿಸುತ್ತದೆ.
ಮೆದುಳಿನಲ್ಲಿ ಹುಳುವಿದ್ದ ಈ ಮನುಷ್ಯನ ಕಾಯಿಲೆಯ ವಿವರಗಳನ್ನು ಇತ್ತೀಚೆಗೆ ಅಮೇರಿಕನ್ ಜರ್ನಲ್ ಆಫ್ ಕೇಸ್ ರಿಪೋರ್ಟ್ಸ್ನಲ್ಲಿ ಪ್ರಕಟಿಸಲಾಗಿದ್ದು, ಅಮೆರಿಕಾದಲ್ಲಿ ಸೋಂಕಿತ ಹಂದಿಮಾಂಸದಿಂದ ತೊಂದರೆಗೊಳಗಾಗುವುದು ಐತಿಹಾಸಿಕವಾಗಿ ಬಹಳ ಅಸಾಮಾನ್ಯವಾಗಿದೆ. ಹಾಗೇಯೇ ಈ ಪ್ರಕರಣವೂ ಸಾರ್ವಜನಿಕ ಆರೋಗ್ಯದ ಮೇಲೆ ಪರಿಣಾಮಗಳನ್ನು ಹೊಂದಿರಬಹುದು ಎಂದು ಮೆಡಿಕಲ್ ಜರ್ನಲ್ನಲ್ಲಿ ಸಂಶೋಧಕರು ಬರೆದಿದ್ದಾರೆ.
ಅಂಗಾಂಗ ದಾನ ಮಾಡಿದ 8 ವರ್ಷದ ಬಾಲಕನಿಗೆ ನಮನ: ಸರ್ಕಾರಿ ಗೌರವದೊಂದಿಗೆ ಅಂತ್ಯಸಂಸ್ಕಾರ
ರೋಗಿಯನ್ನು ತುರ್ತು ನಿಗಾ ಘಟಕದಲ್ಲಿ ಇರಿಸಿ ಚಿಕಿತ್ಸೆ ನೀಡಲಾಗುತ್ತಿದೆ. ಆತನ ಮೆದುಳಿನಲ್ಲಿನ ಇರುವ ಊತವನ್ನು ಕಡಿಮೆ ಮಾಡಲು ಕಾರ್ಟಿಕೊಸ್ಟೆರಾಯ್ಡ್ ಡೆಕ್ಸಾಮೆಥಾಸೊನ್ ಅನ್ನು ದಿನಕ್ಕೆ ನಾಲ್ಕು ಬಾರಿ ನೀಡಲಾಯಿತು. ಜೊತೆಗೆ ಎರಡು ವಾರಗಳ ಕಾಲ ಅಲ್ಬೆಂಡಜೋಲ್ ಮತ್ತು ಪ್ರಾಜಿಕ್ವಾಂಟೆಲ್ ಅನ್ನು ನೀಡಲಾಯಿತು, ಇದನ್ನು ವರ್ಮ್ ಸೋಂಕಿಗೆ ಚಿಕಿತ್ಸೆ ನೀಡಲು ಬಳಸಲಾಗುತ್ತದೆ. ಪರಿಣಾಮವಾಗಿ ಅವರ ಮಿದುಳಿನಲ್ಲಿದ್ದ ಲಾರ್ವಾಗಳು ನಾಶವಾದವು. ಅಲ್ಲದೇ ಅವರ ಮೈಗ್ರೇನ್ ಸಮಸ್ಯೆಯೂ ಸುಧಾರಿಸಿತ್ತು ಎಂದು ವೈದ್ಯಕೀಯ ವರದಿಯಲ್ಲಿ ಬರೆಯಲಾಗಿದೆ.
