ಕಾರು ಚಾಲನೆ ಮಾಡುತ್ತಿದ್ದ ವ್ಯಕ್ತಿಗೆ ಇದ್ದಕ್ಕಿದ್ದಂತೆ Hay Fever ಕಾಣಿಸಿಕೊಂಡಿದೆ. ಆದರೆ, ಮೂಗಿನ ಕೆಳಗೆ ಬೆರಳನ್ನು ಇಡುವ ಬದಲು ಅಥವಾ ಸೀನು ಅನಿಯಂತ್ರಿತವಾಗಿ ಹೋಗಲು ಬಿಡುವ ಬದಲು, ಅವರು ಮೂಗು ಹಿಸುಕಿ ಬಾಯಿ ಮುಚ್ಚಿದ್ದಾರೆ.
ದೆಹಲಿ (ಡಿಸೆಂಬರ್ 14, 2023): ಮನುಷ್ಯರು ಸೀನೋದು ಸಹಜ. ಆಗಾಗ್ಗೆ ಸೀನು ಬರುತ್ತಿರುತ್ತದೆ. ಆದರೆ, ಇದೇ ರೀತಿ ಸೀನನ್ನು ವ್ಯಕ್ತಿಯೊಬ್ಬರು ಹಿಡಿದಿಟ್ಟುಕೊಳ್ಳಲು ಪ್ರಯತ್ನಿಸಿದ ನಂತರ ಅವರ ಶ್ವಾಸನಾಳವೇ ಹರಿದು ಹೋಗಿರುವ ಆಘಾತಕಾರಿ ಘಟನೆ ನಡೆದಿದೆ. ಈ ರೀತಿಯ ಮೊದಲ ಪ್ರಕರಣ ಎಂದು ವೈದ್ಯಕೀಯ ವೃತ್ತಿಪರರೇ ಹೇಳಿದ್ದಾರೆ.

ಇಂತಹ ಘಟನೆ ನಡೆದಿದ್ದೇಗೆ ಅಂತೀರಾ? ಕಾರು ಚಾಲನೆ ಮಾಡುತ್ತಿದ್ದ ವ್ಯಕ್ತಿಗೆ ಇದ್ದಕ್ಕಿದ್ದಂತೆ Hay Fever ಕಾಣಿಸಿಕೊಂಡಿದೆ. ಆದರೆ, ಮೂಗಿನ ಕೆಳಗೆ ಬೆರಳನ್ನು ಇಡುವ ಬದಲು ಅಥವಾ ಸೀನು ಅನಿಯಂತ್ರಿತವಾಗಿ ಹೋಗಲು ಬಿಡುವ ಬದಲು, ಅವರು ಮೂಗು ಹಿಸುಕಿ ಬಾಯಿ ಮುಚ್ಚಿದ್ದಾರೆ. ಈ ವಿಚಿತ್ರವಾದ ಸೀನು ನಿಯಂತ್ರಣ ತಂತ್ರ ಉಲ್ಟಾ ಪರಿಣಾಮವನ್ನು ಬೀರಿದೆ. ಅಂದರೆ ಸೀನು ತಡೆಯುವ ಬದಲು ಅದರ ಬಲವು ವ್ಯಕ್ತಿಯ ಶ್ವಾಸನಾಳದಲ್ಲಿ ಒಂದು ಸಣ್ಣ, ಅಂದರೆ 2* 2 ಮಿಲಿಮೀಟರ್ ರಂಧ್ರವನ್ನು ಉಂಟುಮಾಡಿದೆ ಎಂದು ಲೈವ್ ಸೈನ್ಸ್ ವರದಿ ಮಾಡಿದೆ.
ಇದನ್ನು ಓದಿ: ಇಂಥಾ ತರಕಾರಿ ದಿನಾ ತಿಂದ್ರೆ ಒಂದೇ ವಾರದಲ್ಲಿ ತೂಕ ಕಡಿಮೆ ಮಾಡ್ಕೋಬೋದು!
ಮನುಷ್ಯನ ವಾಯುಮಾರ್ಗ ಮುಚ್ಚುವಿಕೆಯು ಒತ್ತಡವನ್ನು ನಿರ್ಮಿಸಲು ಕಾರಣವಾಗಿದ್ದು, ಇದು ಸಾಮಾನ್ಯಕ್ಕಿಂತ 20 ಪಟ್ಟು ಪ್ರಬಲವಾದ ಸೀನುವಿಕೆಯನ್ನು ಪ್ರೇರೇಪಿಸಿತು. ಹಾಗೂ, ಇದು ಭಯಾನಕ ಹಾನಿಯನ್ನುಂಟುಮಾಡಿತು ಎಂದೂ ಹೇಳಲಾಗಿದೆ.
ಈ ಸಂದರ್ಭದಲ್ಲಿ, ಒತ್ತಡವು ಎಷ್ಟು ಹೆಚ್ಚಿತ್ತೆಂದರೆ, ಮನುಷ್ಯನ ಶ್ವಾಸನಾಳವು 0.08 ಇಂಚುಗಳಷ್ಟು ಹರಿದಿದೆ. ಇದಲ್ಲದೆ, ವ್ಯಕ್ತಿಯು ತೀವ್ರವಾದ ನೋವಿನಿಂದ ಮತ್ತು ಅವನ ಕುತ್ತಿಗೆ ಎರಡೂ ಬದಿಗಳಲ್ಲಿ ಊದಿಕೊಂಡಿದ್ದರಿಂದ ವೈದ್ಯಕೀಯ ಚಿಕಿತ್ಸೆ ಪಡೆಯಲು ಹೋಗಿದ್ದಾರೆ. ವೈದ್ಯರು ಆತನನ್ನು ಪರೀಕ್ಷಿಸಿದರು ಮತ್ತು ಕ್ಷೀಣಿಸುವ ಶಬ್ದವನ್ನು ಕೇಳಿದರು. ಆದರೆ ಉಸಿರಾಡಲು, ಮಾತನಾಡಲು ಅಥವಾ ನುಂಗಲು ಯಾವುದೇ ತೊಂದರೆ ಇರಲಿಲ್ಲ ಎಂದು ತಿಳಿದುಬಂದಿದೆ.
ಟೀ ಕುಡೀರಿ ತಪ್ಪಲ್ಲ, ಆದ್ರೆ ಅದರೆ ಜೊತೆ ತಿನ್ನೋ ಕೆಲವು ಫುಡ್ಸ್ ಆರೋಗ್ಯಕ್ಕೆ ಒಳ್ಳೇದಲ್ಲ!
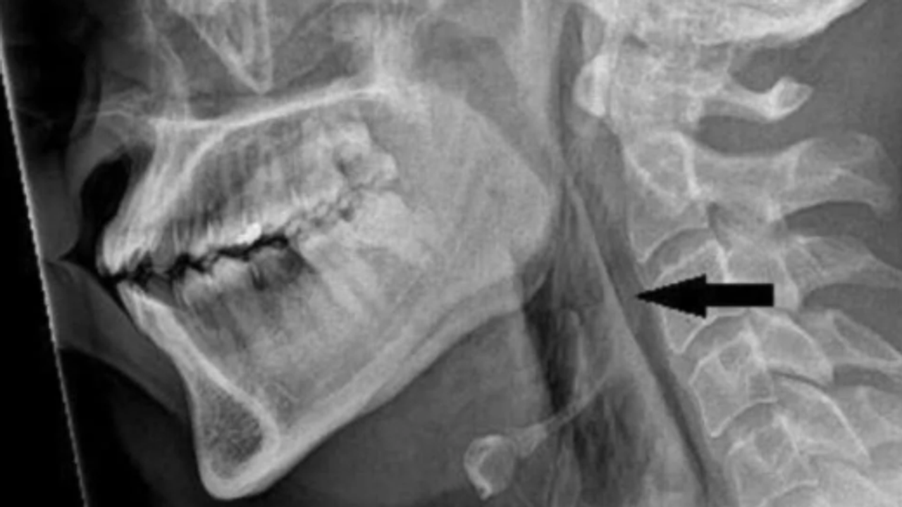
ಮನುಷ್ಯನಿಗೆ ಸರ್ಜಿಕಲ್ ಎಂಫಿಸೆಮಾ ಇದೆ ಎಂದು ಎಕ್ಸ್-ರೇ ಮೂಲಕ ತಿಳಿದುಬಂದಿದೆ. ಈ ಕಾಯಿಲೆಯು ಚರ್ಮದ ಆಳವಾದ ಅಂಗಾಂಶ ಪದರಗಳ ಹಿಂದೆ ಗಾಳಿಯು ಸಿಕ್ಕಿಹಾಕಿಕೊಳ್ಳುತ್ತದೆ. ಬಳಿಕ, CT ಸ್ಕ್ಯಾನ್ ಮಾಡಿದ ನಂತರ ಕುತ್ತಿಗೆಯ ಮೂರನೇ ಮತ್ತು ನಾಲ್ಕನೇ ಕಶೇರುಖಂಡಗಳ ನಡುವೆ ಹರಿದಿದೆ ಎಂದು ತೋರಿಸಿದೆ. ಹೆಚ್ಚುವರಿಯಾಗಿ, ಅವರ ಶ್ವಾಸಕೋಶ ಮತ್ತು ಎದೆಯ ನಡುವಿನ ಪ್ರದೇಶದಲ್ಲಿ ಗಾಳಿಯು ಸಂಗ್ರಹವಾಗಿತ್ತು.
ನಂತರ ಸೆಟೆದುಕೊಂಡ ಮೂಗು ಮತ್ತು ಮುಚ್ಚಿದ ಬಾಯಿಯೊಂದಿಗೆ ಸೀನುವಾಗ ಶ್ವಾಸನಾಳದಲ್ಲಿ ಒತ್ತಡವನ್ನು ತ್ವರಿತವಾಗಿ ನಿರ್ಮಿಸುವುದರಿಂದ ಹಾನಿ ಉಂಟಾಗಿದೆ ಎಂದು
ವೈದ್ಯಕೀಯ ವೃತ್ತಿಪರರು ತೀರ್ಮಾನಿಸಿದರು. ವ್ಯಕ್ತಿಗೆ ಶಸ್ತ್ರಚಿಕಿತ್ಸೆ ಅಗತ್ಯವಿಲ್ಲ ಎಂದು ವೈದ್ಯರು ತಿಳಿಸಿದ್ದಾರೆ. ಆದರೂ, ಆಮ್ಲಜನಕ ಸೇರಿದಂತೆ ಪ್ರಮುಖ ಚಿಹ್ನೆಗಳು ಸ್ಥಿರವಾಗಿರುತ್ತವೆ ಎಂದು ಖಚಿತಪಡಿಸಿಕೊಳ್ಳಲು ವ್ಯಕ್ತಿಯನ್ನು 2 ದಿನಗಳ ಕಾಲ ಆಸ್ಪತ್ರೆಯಲ್ಲಿ ವೀಕ್ಷಣೆಯಲ್ಲಿ ಇರಿಸಲಾಗಿತ್ತು.
ಅಪರೂಪದ ಅಸ್ಥಿಪಂಜರ ಅಸ್ವಸ್ಥತೆಯಿಂದ ಬಳಲೋ ಕುಟುಂಬಕ್ಕೆ ಬೇಕಾಗಿದೆ ಮುಕ್ತಿ!
ಆಸ್ಪತ್ರೆಯಿಂದ ಡಿಸ್ಚಾರ್ಜ್ ಸಮಯದಲ್ಲಿ, ವೈದ್ಯರು ವ್ಯಕ್ತಿಗೆ ನೋವು ನಿವಾರಕಗಳು ಮತ್ತು ಹೇ ಜ್ವರದ ಔಷಧವನ್ನು ನೀಡಿದರು ಮತ್ತು ಎರಡು ವಾರಗಳವರೆಗೆ ಯಾವುದೇ ದೈಹಿಕವಾಗಿ ಬೇಡಿಕೆಯಿಲ್ಲದ ಚಟುವಟಿಕೆಗಳನ್ನು ತಪ್ಪಿಸಲು ಸಲಹೆ ನೀಡಿದರು. ಐದು ವಾರಗಳ ನಂತರ ನಂತರ ನಡೆದ CT ಸ್ಕ್ಯಾನ್ ವೇಳೆ ಆ ತೂತ ಸಂಪೂರ್ಣವಾಗಿ ವಾಸಿಯಾಗಿದೆ ಎಂದು ತೋರಿಸಿದೆ.
