ಎಲ್ಲ ಕ್ಷೇತ್ರಗಳಲ್ಲೂ ಸಾಧನೆಯ ಮೂಲಕವೇ ಖ್ಯಾತರಾಗುವ ಭಾರತೀಯರು| ಬ್ರೈನ್ ಹ್ಯಾಮ್ರೇಜ್ ಗುರುತಿಸಬಲ್ಲ ಎಐ ಯಂತ್ರ ಸಂಶೋಧಿಸಿದ ಭಾರತೀಯ ಮೂಲದ ವೈದ್ಯರು| ಭಾರತೀಯ ಮೂಲದ ವೈದ್ಯರಾದ ಜಿತೇಂದ್ರ ಮಲಿಕ್ ಹಾಗೂ ಪ್ರತಿಕ್ ಮುಖರ್ಜಿ ಅವರಿಂದ ಅಪರೂಪದ ಸಾಧನೆ| ಕೇವಲ ಸೆಕೆಂಡ್ನಲ್ಲಿ ಮೆದುಳು ಸ್ಕ್ಯಾನ್ ಮಾಡುವ ಸಾಮರ್ಥ್ಯ ಇರುವ ಎಐ ಯಂತ್ರದ ಆವಿಷ್ಕಾರ| ಭಾರತೀಯ ಮೂಲದ ವೈದ್ಯರ ಆವಿಷ್ಕಾರಕ್ಕೆ ತಲೆದೂಗಿದ ವೈದ್ಯ ಲೋಕ|
ವಾಷಿಂಗ್ಟನ್(ಅ.25): ಪ್ರಪಂಚದ ಯಾವುದೇ ಮೂಲೆಯಲ್ಲಿದ್ದರೂ ಸಾಧನೆಯ ಮೂಲಕವೇ ತಮ್ಮ ಹಾಗೂ ದೇಶದ ಹೆಸರನ್ನು ಉತ್ತುಂಗಕ್ಕೆ ಕೊಂಡೊಯ್ಯುವುದು ಭಾರತೀಯರ ಮೂಲ ಗುಣ.

ಇದೇ ಕಾರಣಕ್ಕೆ ಎಲ್ಲಾ ಕ್ಷೇತ್ರಗಳಲ್ಲಿ ವಿಶ್ವದ ಹಲವು ಪ್ರಥಮಗಳಿಗೆ ಕಾರಣವಾಗಿರುವ ಭಾರತೀಯರು, ಅನ್ವೇಷನೆ ಹಾಗೂ ವೈದ್ಯಕೀಯ ಕ್ಷೇತ್ರದಲ್ಲೂ ಅಪಾರ ಸಾಧನೆ ಮಾಡುತ್ತಿದ್ದಾರೆ.
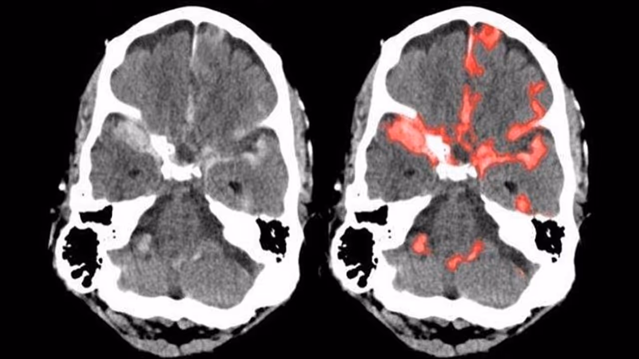
ಅದರಂತೆ ಮಾರಣಾಂತಿಕ ಬ್ರೈನ್ ಹ್ಯಾಮ್ರೇಜ್'ನ್ನು ಆರಂಭಿಕ ಹಂತದಲ್ಲೇ ಗುರುತಿಸಬಲ್ಲ ಹೊಸ ಎಐ ತಂತ್ರಜ್ಞಾನವನ್ನು ಭಾರತೀಯ ಮೂಲದ ವೈದ್ಯರು ಸಂಶೋಧಿಸಿದ್ದಾರೆ.
ಯುಸಿ ಬರ್ಕ್ಲಿ ಹಾಗೂ ಯುಸಿ ಸ್ಯಾನ್ಫ್ರಾನ್ಸಿಸ್ಕೋ ವೈದ್ಯರಾದ ಜಿತೇಂದ್ರ ಮಲಿಕ್ ಹಾಗೂ ಪ್ರತೀಕ್ ಮುಖರ್ಜಿ, ಬ್ರೈನ್ ಹ್ಯಾಮ್ರೇಜ್ ಲಕ್ಷಣಗಳನ್ನು ಗುರುತಿಸಬಲ್ಲ ಆರ್ಟಿಫಿಶಿಯಲ್ ಇಂಟೆಲಿಜೆನ್ಸ್ ಯಂತ್ರವನ್ನು ಸಂಶೋಧಿಸಿದ್ದಾರೆ.
ರೋಗಿಯ ಮೆದುಳಿನಲ್ಲಿ ಜರಗುವ ಅಸಹಜ ಪ್ರಕ್ರಿಯೆಗಳನ್ನು ಪಿಕ್ಸೆಲ್ಗಳಲ್ಲಿ ಸೆರೆ ಹಿಡಿದು ನಂತರ ಅದನ್ನು ಕೇವಲ ಸೆಕೆಂಡ್ನಲ್ಲಿ ಸ್ಕ್ಯಾನ್ ಮಾಡಬಲ್ಲ ಸಾಮರ್ಥ್ಯ ಈ ಎಐ ಯಂತ್ರಕ್ಕಿದೆ ಎಂದು ಈ ವೈದ್ಯರು ಮಾಹಿರತಿ ನೀಡಿದ್ದಾರೆ.
